Qaynar xətt:

(+99450) 247 90 86

Sadəcə 1 məhsulla dişləriniz - parıldasın

Sadəcə 1 məhsulla dişləriniz - parıldasın

TİBB

1463

25.12.2018, 23:26

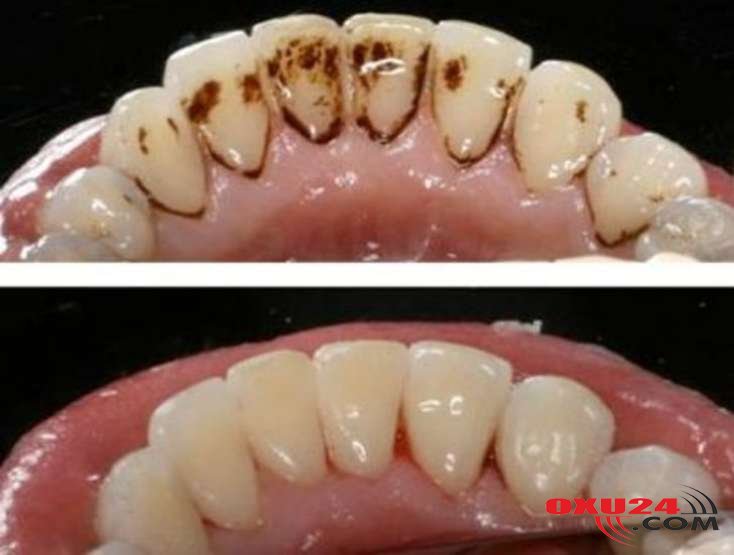
\"\"  Dişlərdə əmələ gələn ləkələr təmizlənmədikdə həm görüntü olaraq narahat edir, həm də sağlamlıq baxımından da çox böyük problemlər yaşamağa səbəb olur.
Oxu24.com xəbər verir ki, bu problemlərin başında infeksiya və diş iltihabı gəlir. Qoz qabığı kürü sayəsində evinizdə asanlıqla dişlərinizə baxım edə bilər, sağlam bir gülüş əldə edə bilərsiniz. Bunun üçün 40 qram qoz qabığı və 250 ml su lazımdır. Qoz qabığını təxminən 25 dəqiqə qaynadın. Qaynadıqdan sonra suyun soyumasını gözləyin. Diş fırçasını hazırladığınız bu suya batırın və təxminən 10 dəqiqə gözlədin. Daha sonra dizlərinizi fırçanız ilə 3 dəqiqə boyunca fırçalayın. Bu müddətdə fırçanı arada bir suya batırın və fırçalamağa davam edin.
Qarışımı gündə 3 dəfə tətbiq edin. Hər gün istifadə edəcəyiniz bu üsul üçün təzə qoz suyu hazırlamalısınız. Davamlı olaraq istifadə etdikdə dişlərinizin ağardığını görəcəksiniz. \"\"