Damarlarımızı nə tutur? - Cavabı AÇIQLANDI
05 Fevral 2026, 22:31
Qaynar xətt:
(+99450) 247 90 86
TİBB
573
12.03.2020, 15:11
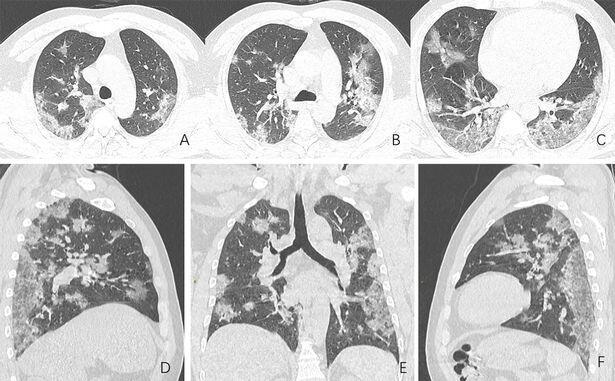
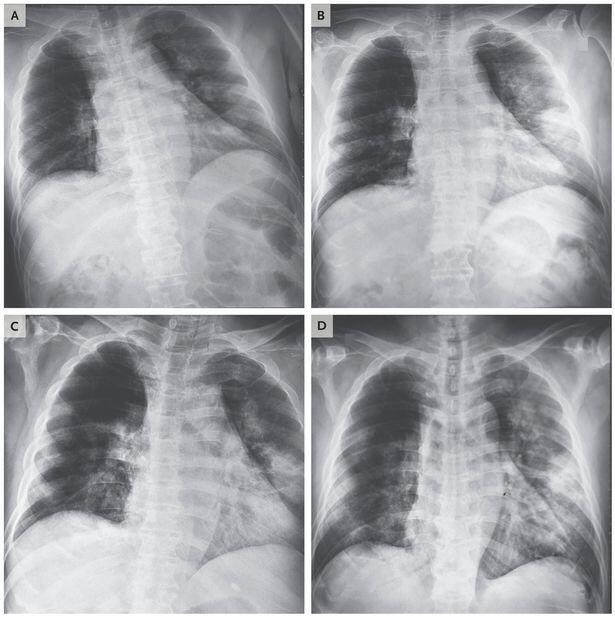
Koronavirus xəstələrinin ağ ciyər müayinəsini əks etdirən rentgen görüntüləri yayılıb.
Oxu24.com metbuat.az-a istinadla xəbər verir ki, koronavirusdan ölən şəxsin rentgen və komputer tamoqrafiya şəkillərində ağ ciyərlərin mərhələ-mərhələ necə məhv olduğu görünür.
Həmin görüntüləri təqdim edirik.
Həmçinin oxuyun


00:16 / 06 Fevral 2026
77
00:06 / 06 Fevral 2026
49
23:47 / 05 Fevral 2026
349
23:45 / 05 Fevral 2026
51
23:44 / 05 Fevral 2026
95
23:41 / 05 Fevral 2026
55
23:39 / 05 Fevral 2026
49
23:27 / 05 Fevral 2026
42
23:21 / 05 Fevral 2026
290
23:07 / 05 Fevral 2026
446
22:55 / 05 Fevral 2026
180
22:46 / 05 Fevral 2026
52
22:46 / 05 Fevral 2026
238
22:37 / 05 Fevral 2026
55
22:31 / 05 Fevral 2026
78
22:25 / 05 Fevral 2026
77
22:22 / 05 Fevral 2026
332
22:14 / 05 Fevral 2026
76
22:05 / 05 Fevral 2026
106
21:48 / 05 Fevral 2026
112
21:39 / 05 Fevral 2026
98
21:31 / 05 Fevral 2026
83
21:09 / 05 Fevral 2026
105
© 2026 Oxu24.com Müəllif hüquqları qorunur.