Qaynar xətt:

(+99450) 247 90 86

Bu əlamətlər varsa, ağ ciyər xərçəngindən ŞÜBHƏLƏNİN

Bu əlamətlər varsa, ağ ciyər xərçəngindən ŞÜBHƏLƏNİN

TİBB

1751

18.10.2019, 12:44

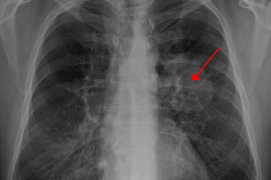
\"\"  Ağ ciyər xərçəngi qadınlarda döş, kişilərdə isə prostat xərçəngindən sonra rast gəlinəndir.
Xərçəngin bu növü əksər hallarda gizli inkişaf edir və bu xəstələliyə yoluxan şəxs onun əlamətlərinə o qədər də ömən vermir. Çoxları isə ağ ciyər xərçingi olduğunu başqa xəstəliyi ilə bağlı rentgen çəkdirən zaman öyrənir.
Oxu24.com  xəbər verir ki, türkiyəli mütəxəssisin məlumatına görə, kəskin ağ ciyər xərçənginin əsas səbəbi kimi tütün məmulatları göstərilsə də, araşdırmalar zamanı bu xstəlikdən əziyyət çəkənlərin 15 faizinin həyatları boyu siqaretdən istifadə etmədiyi bəlli olub. Genetik faktorlar, asbest, radon qazı, havanın çirklənməsi, içmə suyundakı yüksək səviyyəli arsenik maddələr səbəbiylə bu risk altında olan şəxslər həyat şərtlərini yaxşılaşdırmaqla bu riski minimuma endirə bilərlər. Eyni zamanda ağ ciyər xərçəngi vaxtında aşkar edildikdə tam müalicə edilə bilər. Xəstəliyin əsas əlamətli isə aşağıdakılardır: Davamlı nəfəs darlığı və xırıltılı nəfəs. Keçməyən öskürək və qatı bəlğəm. İştahsızlıq və çəkinin itirilməsi. Sinə, kürək, bel, külək sümüyü, qol və ayaq ağrısı. Səsin batması. Udqunmaqda çətinlik. göz qapağının sallanması. Təkrarlanan infeksiyalar. Barmaqların keyiməsi.